匠×デジタル
-精密と美を極める歯科技工-


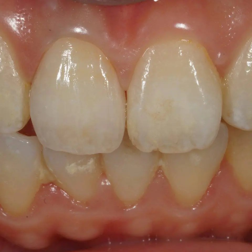
匠の技術、デジタルで極まる
株式会社リープ・セラミック・アーツは、「匠×デジタル」を企業理念に掲げ、
職人の技術と最先端のデジタル技工を融合させた歯科技工所です。
当社の大きな特長は、IOS(口腔内スキャナー)データを基盤にしたインプラント・セラミック補綴の高精度技工です。
従来の型取りに頼らずデジタルワークフローにより時間短縮と精度向上を両立。
審美性と機能性を両立した補綴物を提供しています。
1分でわかる!
株式会社リープ・セラミック・アーツ
お仕事・セミナーのご依頼は
株式会社リープ・セラミック・アーツまで
審美歯科、インプラント、ジルコニア、セラミック、IOS(イントラオーラルスキャナー)のご依頼をお待ちしております。
-

代表取締役歯科技工士・伊藤竜馬の歩みと挑戦
歯科技工の世界で30年以上の経験を持つ伊藤竜馬氏。
1996年に新東京歯科技工士学校を卒業後、日本臨床CAD/CAM学会の指導技工士、早稲田歯科技工トレーニングセンターなどを経て、1999年には同校のインストラクターに就任。2004年には「リープ・セラミック・アーツ」を開業し、独自の審美技術を発展させてきました。
その後も教育機関や講演活動に精力的に取り組み、新東京歯科技工士学校の非常勤講師として後進の育成に携わるとともに、数々の学術誌やフォーラムで技術を発信。
2009年にはモリタ歯科技工登竜門で優秀賞を受賞するなど、技術者としての評価も高く、国内外の著名技工士のもとで研鑽を重ね、2024年には大阪セラミックトレーニングセンター宮崎校を卒業。
現在は、鶴見大学技修会学術理事、デンツプライ・シロナ インストラクターとしても活躍中です。 -

【求人募集】
伊藤竜馬が率いる「リープ・セラミック・アーツ」であなたの技工人生を次のステージへ。国内外で高い評価を受ける歯科技工士・伊藤竜馬が代表を務める「リープ・セラミック・アーツ」では、技術を磨きながら成長できる仲間を募集しています。
【当ラボの特徴】
・確かな実績と指導環境
代表の伊藤は、モリタ歯科技工登竜門優秀賞をはじめ、QDTやOdontotecnicaへの論文掲載、講演登壇など多数の実績を持ち、現在も学会活動を通じて後進の育成に取り組んでいます。
・最新技術への積極的な取り組み
セラミック技工を中心に、審美・インプラント分野に注力。最新のデジタル技術を活かした先進的な技術を学べます。
・教育体制・スキルアップ支援あり
初心者の方には丁寧な指導体制、経験者にはステップアップできる環境を提供。学会発表や論文執筆などにも積極的にチャレンジできます。
会社概要
| 会社名 | 株式会社 リープ・セラミック・アーツ |
|---|---|
| 代表者名 | 伊藤 竜馬 |
| 所在地 | 〒146-0092 東京都大田区下丸子2-14-22 フラットK 3F GoogleMapで見る |
| 電話番号 | 03-6715-0993 |
| 設立 | 2004年11月 |
| 事業内容 | CAD/CAM、ジルコニア、インプラント、自費専門の歯科技工物の製作 アバットメント、上部構造、シンタリングなど外注技工物の製作 |
| 当社HP | https://www.leap-ca.com/index.html |